Recent years are very fruitful with regard to the development of new technologies concerning endovenous treatment of venous diseases. Mechanism of vein closure is completely different compared to arterial system. Vein thrombosis is the most common cause of the closure of vein lumen. Thrombus that initially develops morally is subject to propagation usually up to the complete closure of the vessel lumen.

There are also other sparser reasons of venous trunks obturation triggered by external factors, i.e. compression syndromes. Out of them, the most common are unfavourable arterial systems in relation to plastic veins or neoplastic infiltration or metastatic (enlarged) lymph nodes which pressure the lumen of neighbouring venous trunks.    

Implantation of venous stents (especially designed for such vessels) allows for the treatment of acute (e.g. iliac and femoral thrombosis), subacute and chronic conditions (e.g.  postthrombotic affected iliac veins).

Iliac and femoral thrombosis or exacerbation of postthrombotic syndrome are special indications  for implantation of stents intended for veins. A return of main outflow of venous blood from leg immediately improves the comfort of patient’s life, frequently eliminating the symptoms of postthrombotic syndrome. Stenting allows for treating patients with venous ulcer of lower limb.  

In case of acute phase of thrombosis (up to 2 weeks after the occurrence of thrombosis), venous stent is inserted to the vessel following returning the flow in its lumen, using system for mechanical and chemical thrombectomy. Such procedures are performed in hospital settings in especially-adjusted rooms. Interventional radiologists of our team perform stenting in the  Medicover Hospital in Warsaw (Wilanów).

Typical indications for venous stenting of iliac and femoral segment:

  • history of deep vein thrombosis in iliac and femoral section
  • recurrence of thrombosis in iliac and femoral segment
  • symptomatic postthrombotic syndrome
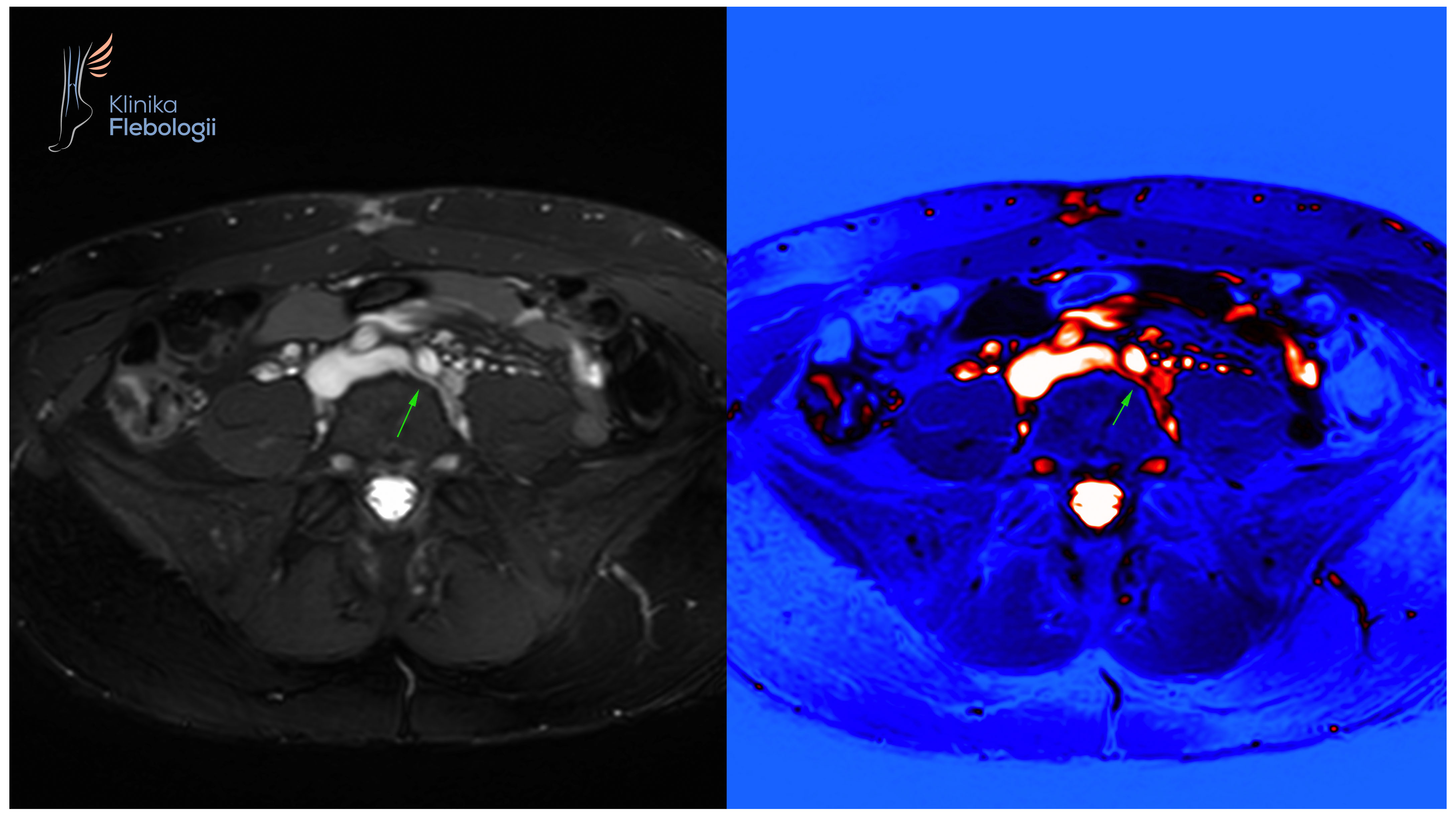
  • symptomatic compression syndrome of venous flow in pelvis (e.g. May-Thurner syndrome)
  • iliac and femoral thrombosis secondary to external compression (e.g. due to neoplastic infiltration)

Patients are qualified to venous stenting always following the Doppler ultrasound with a full evaluation of venous system of lower extremities, veins of small pelvis and abdominal cavity (common iliac veins, external and internal iliac veins and inferior vena cava). Qualification procedure is frequently extended by the evaluation of vein under multislice computed tomography (CTV) or magnetic resonance imaging (MRV).

For the most severe cases, other diagnostic examinations are performed in hospital settings such as phlebography or intravascular ultrasound (IVUS). The advantage of the latter method consists in a precise evaluation of veins from the inside using a probe emitting high-frequency sounds within the vein. Currently, IVUS and phlebography are the gold standard in the implantation of stent to the veins.

Zespół May-Thurnera. Stentowanie.

Stan po stentowaniu lewego spływu biodrowego w przebiegu zespołu May-Thurnera.

Rzadka postać żylnego zespołu uciskowego na poziomie spływu lewej żyły biodrowej wspólnej.


Testimonials